
Ανατομία: που βρίσκονται τα νεφρά μας;
Tα νεφρά είναι τοποθετημένα στο πίσω μέρος της κοιλιάς κοντά στη σπονδυλική στήλη και προστατεύονται από κακώσεις από το τελευταίο τμήμα του θωρακικού κλωβού. Οι περισσότεροι άνθρωποι έχουν δύο νεφρά, ένα σε κάθε πλευρά του σώματος.
Φυσιολογία: τι κάνουν τα νεφρά;
Tα νεφρά
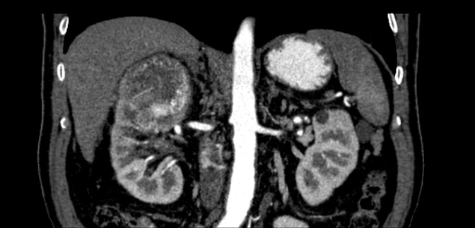
Η μάζα του νεφρού είναι ένα μόρφωμα (όγκος) που αναπτύσσεται στο νεφρικό παρέγχυμα και μπορεί να υποδηλώνει πολλές παθήσεις συμπεριλαμβανομένου και του καρκίνου.
Γενικότερα οι μάζες του νεφρού διακρίνονται σε καρκίνους και μη καρκίνους δηλαδή σε κακοήθεις και καλοήθεις βλάβες.
Ο καρκίνος του νεφρού αποτελεί μία ανάπτυξη κακοήθων κυττλαρων που ξεκινά από το νεφρό και μπορεί να επεκταθεί σε άλλα όργανα.
Τυχαία Ανακάλυψη
Συμπτωματική νόσος
Στάδιο I: ο όγκος είναι μικρότερος από 7 εκατοστά και περιορίζεται στο νεφρό
Στάδιο II: ο όγκος είναι μεγαλύτερος από 7 εκατοστά και περιορίζεται στο νεφρό
Στάδιο III: ο όγκος έχει επεκταθεί σε έναν ή περισσότερους από τους τοπικούς λεμφαδένες ή μέσα στην νεφρική φλέβα ή στο λίπος που περιβάλλει τον νεφρό ή έχει επεκταθεί στο επινεφρίδιο
Στάδιο IV: ο καρκίνος του νεφρού έχει επεκταθεί πέρα από το λίπος που περιβάλλει αυτόν ή έχει επεκταθεί σε άλλα όργανα ή σε απομακρυσμένους λεμφαδένες

Πρωτόκολλο Παρακολούθησης των ασθενών με καρκίνο του νεφρού μετά από θεραπεία | |||||
Κατηγορία κινδύνου | Παρακολούθηση | ||||
6 μήνες | 1 χρόνος | 2 χρόνια | 3 χρόνια | >από 3 χρόνια | |
Χαμηλού Κινδύνου | Υπερηχογράφημα | Αξονική τομογραφία | Υπερηχογράφημα | Αξονική τομογραφία | Αξονική τομογραφία κάθε 2 χρόνια |
Ενδιάμεσου / Υψηλού κινδύνου | Αξονική Τομογραφία | Αξονική Τομογραφία | Αξονική Τομογραφία | Αξονική Τομογραφία | Αξονική Τομογραφία κάθε δύο χρόνια |
